Composite Fillings
Blend Seamlessly with Your Smile
A dental filling has been provided by Verde Pointe dentists for many years. They not only have years of experience but also attend training to stay up to date on the latest dental filling materials & techniques. We follow all HIPPA, OSHA & CDC guidelines to help ensure the best service. Each patient receives the individual attention they deserve and we have treated thousands of patients since 1982. We will work with your dental insurance and have financing options available. When you come to our office you will seldom see anyone waiting in the “waiting” area. Even if you arrive early we take pride to provide service “as soon as possible”. Feel free to call us @ (770) 423-4900.
Cavities
Because humans are creatures of habits parents that haven’t been raised with good dental hygiene habits often feel cavities are a natural part of life. Dental cavities or “dental caries” are a fact of life for those families and fillings follow. That is why we recommend a child’s first dental visit at such a young age to establish good dental hygiene habits. Good dental hygiene & sealants can help prevent cavities what eventually most people get cavities. Establishing a treatment plan that fits your situation is part of the benefits of Verde Pointe Dental.
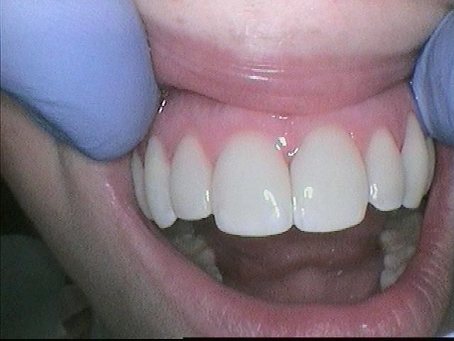
Bonding
Many people explore the option of “bonding” composite resin to their front teeth to improve the overall look or aesthetics of their smile. When a dentist performs bonding, it is important to use bonding that matches existing teeth color. Otherwise, the teeth can look like a myriad of color. Choosing the color for a tooth can be difficult, especially when teeth vary in color between each other and more difficult, vary in color on the same tooth.


Many dentists will offer for a patient to whiten their teeth before bonding. This will allow for use of lighter colored bonding material and a whiter, more attractive smile.
Verde Pointe Dental Associates are experts on matching tooth color for excellent outcomes. The office can fix a smile with mismatched bonding for a better-looking result.
The example of mismatched bonding has been corrected at Verde Pointe Dental for a more pleasing smile. Note the smile before the improved bonding match, and then the result after replacement.
It’s never to late to improve your smile. Here at Verde Pointe Dental, we believe a great smile can make a big difference in a person’s life. Contact us today to improve your smile.
Filling
Amalgam fillings or silver fillings were common in the past; however, composite fillings have replaced them as a better alternative.
Amalgam
Amalgam fillings or silver fillings were common in the past. Amalgam forms a strong and stable filling made from a mixture of silver, copper, tin and mercury and were used for years as filling for cavities. Over time fillings deteriorate: cracking, chipping and or loosening allowing bacteria to attack the tooth. If you’re of the age that you may still have amalgam fillings they should be examined and likely replaced with composite fillings that look like natural tooth enamel.
Replacing Old Silver Amalgam Fillings
If your dentist wants to replace an old silver filling, the need may be more obvious than you realize. Old silver amalgam fillings can pull away from the tooth to create a space for bacteria to invade between the tooth and filling. When this occurs, a decay process will begin and continue regardless of excellent oral hygiene. It needs to be removed.


In some instances, the decay is obvious enough for a dental patient to observe. Take a close look at the picture of the old silver filling.
In this case, it has been in the patients mouth for over 30 years. Although, the tooth is functioning, there is obvious decay around the dental filling that needs replaced. When ignored, the cavity will progress until it reaches the pulp of the tooth, then requiring a more costly root canal procedure.
It’s best to replace it before this happens. At Verde Pointe, we have the technology to view teeth in each dental operatory, allowing the patient to see the obvious for themselves.
Sometimes decay can only be seen by a picture alone. It’s only visible on an x-ray. At Verde Pointe Dental, we show you the x-ray and point out why your dental filling needs replaced. There is no good reason to allow decay to progress in the mouth. Restoring the tooth is always the best route.
If you have any questions concerning replacement of an old dental filling, visit us for a consultation. We believe an informed patient is the best way for people take control of their dental health.
Contact Verde Pointe Dental if you suspect or need dental fillings replaced today!
Composite
Composite fillings are tooth-colored resins used to fill cavities. There are a number of filling types available with unique benefits and disadvantages. Composites are used to fill cavities and are used in cosmetic situations to change the color or reshape disfigured teeth. The dentist knows which composite to use in which situation to offer the best benefits for you.






